女 48岁
症状:左膝急性扭伤疼痛2小时
症状:扭伤致左膝关节疼痛2小时,患者2小时前扭伤左侧膝关节,当时无昏迷,左膝肿胀及疼痛,膝关节活动受限,急来我院就诊
诊断:膝关节扭伤
体征:左膝肿胀,髌骨两侧压痛,股骨外侧髁腰痛,膝关节活动受限
既往史:既往体健
CT表现:
轴位结合重建示:左膝关节诸组成骨骨质结构清晰,髌骨内侧缘及股骨外侧髁骨质结构断裂,断端分离。股骨外侧髁可见片状高密度影。股骨滑车变浅,髌骨向外侧移位。余关节对位良好,关节间隙未见异常狭窄及扩张。关节腔及髌上囊内可见液体样密度影。周围软组织肿胀。
印象:
1.左髌骨内侧缘及股骨外侧髁撕脱骨折。
2.左股骨外侧髁软骨损伤。
3.左股骨滑车变浅,髌骨向外侧移位。
4.左膝关节腔及髌上囊积血。
5.左膝关节周围软组织肿胀。
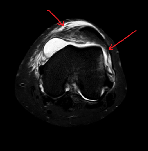
MRI表现:
左髌股关节对位不良,股骨滑车较浅,髌骨向外侧移位,髌骨内侧缘、股骨外侧髁可
见片状压脂高信号影;内侧髌旁支持带边缘毛糙,压脂信号增高。胫股关节对位尚可
。前、后交叉韧带走行尚可,轮廓清晰,信号均匀。内侧半月板后角见条片状高信号
影,累及关节面。外侧半月板内未见异常信号影。内、外侧副韧带走行自然,未见异
常改变。关节滑膜信号混杂,髌下脂肪垫见条片状压脂高信号影。鹅足滑囊、关节腔
及髌上囊内可见液体信号影。关节前方软组织内见斑片状压脂高信号影。股内侧肌下
缘可见片状压脂高信号。
印象:
1.左膝急性滑脱性髌股撞击综合征,髌骨、股骨外侧髁骨髓水肿,不除外伴骨折,请
结合CT检查。
2.左膝内侧髌旁支持带损伤。
3.左膝内侧半月板后角损伤。
4.左膝关节滑膜水肿,髌下脂肪垫损伤,鹅足滑囊积液。
5.左膝关节腔及髌上囊积液。
6.左膝关节前方软组织水肿。
7.左膝股骨滑车较浅,股内侧肌下缘挫伤、水肿。
左膝急性滑脱性髌股撞击综合征
急性滑脱性髌股关节撞击综合征的概念最早由国内学者王植等提出,急性滑脱性髌股关节撞击症是指膝关节急性屈曲外翻时,髌骨半脱位或脱位过程中,髌骨内侧面及股骨外髁相互撞击而造成的膝关节正常解剖结构的损伤。

本病常见于青年人 , 多有明确外伤史。由于其伤 后脱位的髌骨多可自行复位 , 病史及体征无特异性。
髌骨的稳定主要依靠 其周围结构的维持,而内侧支持带对髌骨的内侧稳定具有重要 的作用。髌内侧支持带为髌股关节主要稳定结构 , 可分为深浅两层 , 浅层较薄 , 深层包括内侧髌股韧带、内侧髌胫韧带及内侧髌半月板 韧带。当膝关节在站立伸直位 时,非直接创伤下,膝关节呈外翻或者内旋的屈曲状态,髌骨可向外侧移位,此时其外侧面会越过股骨的外侧髁部,因髌骨及其周围组织结构的特点,可直接撞击股骨外侧髁的外侧缘,导致相关部 位软骨及骨挫伤,严重可出现髌骨脱位状态。在股骨外侧髁的阻挡作用下,髌骨嵴以及髌骨的内侧下方会再一次撞击股骨外侧髁的外侧缘,从而导致软骨、骨的二次挫伤。
髌骨外侧脱位及髌骨复位过程中 , 髌骨内下缘及股骨外侧髁前外侧面碰撞挤压 , 主要造成髌骨内下缘及股骨外侧髁 前外侧面骨损伤及内侧支持带损伤。骨损伤包括骨挫伤及软骨及软骨下骨损伤 , 骨挫伤为骨髓水肿、出血及骨小梁微骨 折 , MRI 可见皮质下骨质内斑片状及线样稍长 T1 长 T2压脂高信号影。髌骨外侧脱位时 , 内侧支持带紧张 , 导致其损伤甚至撕裂 , 常发生于髌骨附着点及股骨附着点处 , 内侧支持带损伤时 , 表现为支持带增粗、扭曲、变形 , 边缘模糊或连续性中断。

髌内侧支持带信号升高 , 周围软组织水肿 , 部分病例伴发内侧副韧带及前交叉韧带损伤。
影像表现:
典型部位的骨挫伤,MRI表现为髌骨内下部及或股骨外髁前外侧部骨质内异常信号。
典型的韧带损伤-内侧支持带损伤。
髌骨位置异常,包括髌骨与股骨内、外髁间距的不对称改变,髌骨边缘超过股骨边缘 等。
关节腔内游离体,其位置不固定,多伴发于临近骨的撕脱骨折。
由于髌骨脱位后 , 可自行复位 , 以致部分病例影像检查不能发现髌骨脱位征象。但有明确外伤史,.表现为典型部位(髌骨内侧面、股骨外侧髁的前外侧部)的软骨损伤和骨挫伤,以及典型部位的韧带损伤(内侧支持带损伤、内侧副韧带损伤等)和髌骨位置异常等即可明确诊断急性滑脱性髌股撞击综合征。
1.王植,王林森,胡永成,等.急性滑脱性髌股关节撞击症的认识与
2 Groves C,Chandramohan M,Chew NS,et al. Clinical examination,ultrasound and MRI imaging of the painful elbow in psoriatic arthritis and rheumatoid arthritis:which is better,ultrasound or MR,for imaging enthesitis? [J].RheumatolTher,2017,4 (1):71-84.
3.于春水 , 宣芸 , 李坤成 , 等 . 髌内侧支持带的解剖观测及临床 意义 . 中国临床解剖杂志 , 2004, 22(3):263-265.
4.张金华 , 杨小庆 , 孟宪平 , 等 . 髌骨内外侧支持带损伤 MRI 表 现初步研究 . 中国医学影像学杂志 , 2011, 19(6):450-454.
荆门市中心医院 李文文教授
荆门市中心医院 李文文教授
长沙市中医医院 陆喜红
品牌内容供应商入驻,共建优质课程库,图文、音视频、直播,面授,满足各类课程需求, 完美呈现优质课程内容。
想学什么课程,让我们来帮你量身定制的实现!帮内容寻找精准流量,帮流量匹配优质内容。
行业领袖亲授,业内大咖在线授课答疑,为您带来与众不同的学习体验与难得的提高机会。
排课、预约、支付、订单、发票,全流程线上管理,快速提升运营效率;数据化精准营销,满足各渠道业务管理需求。
线上跨越时空与线下对面交流优势完美结合,拓宽线上线下渠道,轻松解决招生难题,O2O打通了线上线下的客户体验环节,为您带来无限可能。
零门槛搭建在线网校,灵活部署,分分钟即可上线运营。配套H5、桌面端多平台自由选择,助您快速打造专属私有品牌的融合在线教育平台。