男性,63岁
发现左耳后包块1天入院,质硬,边界清楚,活动度差;2型糖尿病多年,乙肝病史多年
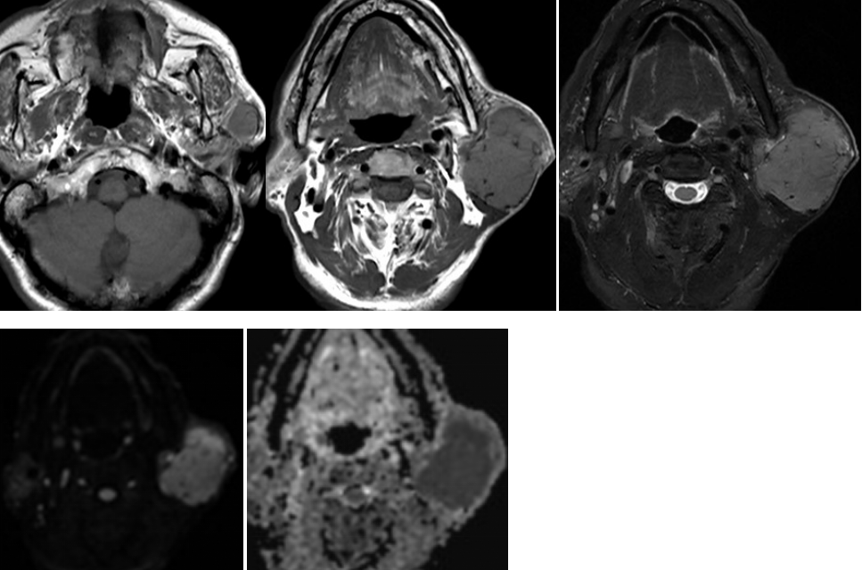
左侧腮腺深叶见混杂团块状异常信号,T1WI为等信号,其内可见片状低信号及点片状高信号,T2WI为稍高信号,内见多发类圆形、点片状高信号,DWI序列呈稍高信号,ADC图呈等及高信号,增强后呈不均匀性明显持续强化,其内可见片状、点状未强化区,肿块边缘呈弧线状包膜样强化,大小约为3.0cm×3.0cm×4.5cm(左右径×前后径×上下径),后缘见弧状T2WI高信号;
左侧腮腺深叶占位伴出血、囊变,考虑偏良性病变:基底细胞腺瘤,多形性腺瘤待排除。
左侧腮腺基底细胞腺瘤
概述:
腮腺基底细胞腺瘤(basal cell adenoma,BCA) 是涎腺中较少见的上皮源性良性肿瘤,占所有腮腺良性肿瘤的1%~3% 。75%发生于腮腺,5%发生于下颌下腺,仅有少数发生于小唾液腺,以上唇多见,以单侧腮腺发病常见,好发于中老年女性,男女发病比例约1:2,50-60岁发病最多,比多形性腺瘤发病年龄平均要晚10年左右。
临床症状:
无特异性,与腮腺其他良性肿瘤表现相仿,常为无意中发现肿块,触诊肿块较软,一般无压痛,可移动,与周围组织无粘连。
病理:
肿瘤多数为单发,形态呈圆形或椭圆形,少数可呈分叶状,病灶常有包膜,但有时肿瘤包膜不完整。肿瘤质地中等,切面灰白或灰黄色,呈实性或囊实性剖面呈大小不等的囊腔。
镜下由单层基底细胞样的上皮细胞和清晰的基底膜样结构构成,而缺乏多形性腺瘤所含有的黏液和软骨样基质。因含有丰富的线样内皮血管和小静脉,容易发生出血、坏死及囊变。
BCA组织来源是闰管细胞或储备细胞,根据细胞排列方式,分为实性型、梁状型、管状型和膜性型,其中膜性BCA生物学行为有别于其他类型BCA,具有多灶性微腺瘤、不完整或无囊、术后易复发和恶性转化等特点。
影像:
(1)好发于腮腺浅叶,常为单侧、单发病灶,多发罕见;
(2)具备一般良性肿瘤的生物学特征,呈圆形或类圆形,无或仅有浅分叶状,边缘光滑与周围组织分界清楚;
(3) 肿瘤体积一般较小,病灶直径多在3cm以下,肿瘤呈膨胀性生长,且常具有包膜;
(4) 肿瘤实性部分CT呈稍低密度或等密度(与颈部肌肉相比),钙化少见,磁共振T1WI呈中等信号,T2WI呈稍高信号,均低于正常腮腺信号,DWI呈稍高信号,ADC值较低,介于腺淋巴瘤与多形性腺瘤之间,这可能是BCA细胞成分多、排列紧密及缺乏黏液样及软骨样基质导致;由于间质内含有丰富的毛细血管和小静脉,故易发生出血、坏死引起囊变,囊变一般发生在结节的中心,也可呈散在小片状、裂隙样分布,增强扫描实性部分明显持续性强化,呈“快进慢出”型。部分病例肿瘤周缘出现壁结节征象,表现为自肿瘤边缘向中心突出的大小不等的、强化较明显的结节,该征象虽然罕见,却是腮腺BCA一个较特征表现,其病理基础为由基底细胞巢形成的小管样结构。
男,56岁,右腮腺BCA复发;肿块位于右侧腮腺浅叶区域,类圆形,边界清晰,平扫密度不均,中央可见囊变低密度区;动态增强肿块实质边缘明显强化,实质部分重度强化,静脉期持续强化

女,83岁,双侧腮腺BCA,T2WI呈中等稍高信号,右侧病灶外周见小片囊变高信号,T1WI呈低信号,增强明显强化
鉴别诊断--多形性腺瘤:
腮腺最常见的良性肿瘤,发病年龄跨度较大,以中年女性为多见,平均年龄40岁,较BCA发病年龄轻。肿块较大,直径一般>3cm,好发于腮腺浅叶,膨胀性生长呈圆形或卵圆形,较大者呈分叶状;因含黏液及软骨成分,平扫密度/信号一般不均匀,T2WI信号较BCA高,瘤内可见低信号、索条状的胶原纤维分隔;肿瘤较大时也可发生出血、囊变,但以周边多见,且囊变发生率及程度较BCA低,可合并钙化;增强扫描早期强化不明显或轻度强化,呈渐进性强化特点,而BCA增强扫描早期即明显强化,强化幅度高于多形性腺瘤;ADC平均值高于BCA,TIC以持续上升型为主。

本院病例(多形性腺瘤):患者,男性,37岁,发现右侧腮腺包块半年余,无疼痛、发热症状;右侧腮腺区分叶状囊实性肿块,T2WI明显高信号,T1WI低信号,无明显弥散受限,增强明显不均匀强化。
鉴别诊断--腮腺腺淋巴瘤(Warthin瘤)
发病率仅次于多形性腺瘤,约占腮腺良性肿瘤的10%;好发生于长期吸烟的老年男性;可单侧多发或双侧多发,好发于腮腺浅叶后下极,圆形或卵圆形,可见包膜,边界多清楚。感染或恶变时可模糊不清;肿瘤易囊变,一般无出血及钙化;肿瘤血供丰富,早期呈明显强化,延迟期强化减退,呈“快进快退”强化特点,但强化程度低于BCA,病灶周围可见丰富血管影围绕,呈“贴边血管征”,部分病灶同时可见血管影延伸至瘤体内,具有特征性,包绕血管或贴边血管征为其特征性表现。ADC值较低,明显低于腮腺BCA;单从影像上BCA与Warthin瘤不易鉴别,但前者中老年女性发病率较高,单侧多见,对于鉴别诊断有一些提示意义。
本院病例(腮腺Warthin瘤);男性,68岁,发现左侧腮腺肿物10年,伴增大1月余,无明显红肿、破溃、渗出、无瘙痒等不适,当时未予以重视,近1月来肿物明显增大,新增两处肿物;左侧腮腺见多发占位,对比同层肌肉,T1WI及T2WI均呈稍高信号,内见多发流空血管影,DWI明显弥散受限。
荆门市中心医院 李文文
荆门市中心医院 李文文
荆门市中心医院 李文文教授
品牌内容供应商入驻,共建优质课程库,图文、音视频、直播,面授,满足各类课程需求, 完美呈现优质课程内容。
想学什么课程,让我们来帮你量身定制的实现!帮内容寻找精准流量,帮流量匹配优质内容。
行业领袖亲授,业内大咖在线授课答疑,为您带来与众不同的学习体验与难得的提高机会。
排课、预约、支付、订单、发票,全流程线上管理,快速提升运营效率;数据化精准营销,满足各渠道业务管理需求。
线上跨越时空与线下对面交流优势完美结合,拓宽线上线下渠道,轻松解决招生难题,O2O打通了线上线下的客户体验环节,为您带来无限可能。
零门槛搭建在线网校,灵活部署,分分钟即可上线运营。配套H5、桌面端多平台自由选择,助您快速打造专属私有品牌的融合在线教育平台。