患者:女 63岁。
主诉:行走不稳伴睡眠时大喊大叫2年余;便秘,不能控制大小便。
病案讨论
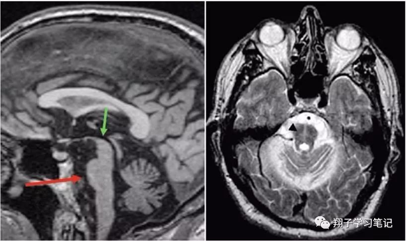
影像表现:脑桥可见“十字交叉征”,中脑、脑桥、小脑萎缩。
影像诊断:考虑多系统萎缩-橄榄桥小脑萎缩OPCA。
临床诊断:橄榄桥脑小脑萎缩( OPCA)



橄榄脑桥小脑萎缩(OPCA)和纹状体黑质变性(SND)是目前已知的多系统萎缩(MSA)的主要病理相关因素,在1900年和1961年分别进行了描述。Shy-Drager综合征历来被用来描述以自主神经功能障碍为主的MSA较少见的表型表现。格雷厄姆和奥本海默首次提出MSA一词为大类,是基于发现散发性OPCA、SND和Shy-Drager综合征在临床和病理上共同存在。
临床表现:
多发性系统萎缩(MSA)是一种散发性的成人神经退行性疾病,临床上常表现为帕金森病、小脑共济失调和自主神经功能衰竭。这些表型中主要按照临床表现进行分类:如MSA-P(帕金森病为主)、MSA-C(小脑共济失调)或MSA-A(自主功能衰竭),后者最不常见。
这是一种成年晚期的疾病,平均发病年龄为58岁(年龄30岁~80岁)。痴呆在历史上并不被认为是MSA的一部分,然而认知能力下降(通常是额叶)可能发生,而且可能是严重的。帕金森病的表型可能很难与特发性帕金森病区分,特别是以不对称震颤起病类型。
MSA神经影像学改变
在MSA-C小脑亚型:T1加权MRI:以桥脑和小脑萎缩为主。在T2加权MRI:十字面包征被认为是MSA-C的一个有用的临床标志物。但实际上该影像征象可能发生在其他疾病的晚期:如:中枢神经系统血管炎、副肿瘤综合征和脊髓小脑性共济失调(SCA)。
MSA-P 帕金森型:T2 MRI上基底节区信号改变被认为是一种更为特征性的改变,在壳核内信号明显较低,在外侧后壳核边缘有一薄的高强度边缘,这就是裂隙征。
下图显示MSA的病例:矢状面中部图像(左侧)显示脑桥变平,体积减少(红色箭头),横向T2加权图像(右侧):十字包头征(箭头)。注意正常的中脑外观(绿色箭头),与PSP(中脑扁平)相反。

下图显示MSA:壳核尾部低信号伴外侧缘裂隙状高信号(裂隙征)

荆门市中心医院 李文文
荆门市中心医院 李文文教授
荆门市中心医院 李文文
品牌内容供应商入驻,共建优质课程库,图文、音视频、直播,面授,满足各类课程需求, 完美呈现优质课程内容。
想学什么课程,让我们来帮你量身定制的实现!帮内容寻找精准流量,帮流量匹配优质内容。
行业领袖亲授,业内大咖在线授课答疑,为您带来与众不同的学习体验与难得的提高机会。
排课、预约、支付、订单、发票,全流程线上管理,快速提升运营效率;数据化精准营销,满足各渠道业务管理需求。
线上跨越时空与线下对面交流优势完美结合,拓宽线上线下渠道,轻松解决招生难题,O2O打通了线上线下的客户体验环节,为您带来无限可能。
零门槛搭建在线网校,灵活部署,分分钟即可上线运营。配套H5、桌面端多平台自由选择,助您快速打造专属私有品牌的融合在线教育平台。