男性,17岁
因腹泻行腹部CT扫描时无意发现肝脏占位
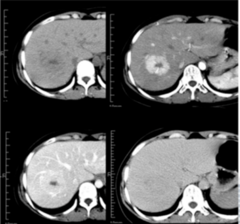
MRI:肝脏体积不大、外缘光整,肝叶比例协调,肝S4见团块状异常信号,T1WI以稍低信号为主,反相位信号无明显衰减,T2WI以稍高信号为主,内见轮辐状T1WI低T2WI高信号(考虑瘢痕),DWI及ADC均呈高信号,SWI病变内无明显低信号,动态增强动脉期肿块呈明显不均匀强化,瘢痕无明显强化,门脉期及过度期持续强化,内部瘢痕渐进强化,肝胆期呈高低不等信号,边界清楚,大小约为31.6mm×28.1mm×32.7mm(左右径×前后径×上下径)。
肝S4占位,考虑局灶性结节性增生(FNH)。
肝脏局灶性结节增生--FNH
概述:
肝脏局灶性结节增生(focal nodular hyperplasia,FNH)是继肝血管瘤之后第二位好发的良性肿瘤样病变,发病率约0.9%,是肝细胞对局部血管异常产生的一种反应性增生;任何年龄的男性及女性均可发生,以30~50岁的女性多见(80%~95%),可能与雌激素刺激血管畸形发展和肝细胞增生有关;FNH的发生与口服避孕药无关,但口服避孕药可促进其发展;FNH也可伴发其他血管畸形病变,如遗传性毛细血管扩张症、先天性门静脉闭锁等;大多数为单发,约30%FNH可多发;绝大多数患者发病时无症状,极少恶变,一般不需要处理。
病理:
由正常肝细胞、畸形血管、小胆管和Kupffer细胞组成,但无正常肝小叶结构;质硬,分叶状,边界相对清晰,无包膜,压迫周围肝实质发生炎性纤维反应或周围血管受推挤可构成假包膜;经典型FNH中央有放射状纤维瘢痕,伸出纤维条索将增生的肝组织分割呈结节状,由纤维间隔包绕,纤维间隔中有厚壁动脉血管,无汇管区静脉及胆管;在纤维间隔与肝细胞间有小胆管增生;病变区域血管丰富,以动脉供血为主。
影像表现---典型表现:
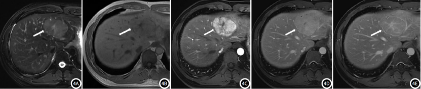
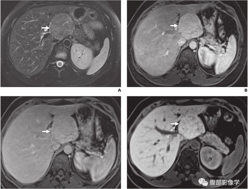
常位于肝包膜下,典型FNH平扫CT呈低密度,中央瘢痕呈更低密度,MRI呈T1WI像呈等或稍低信号,T2WI像因场强及脉冲序列不同可呈等-稍低或等-稍高信号,中央瘢痕T1WI呈更低信号,T2WI因含有慢血流的血管、炎症细胞浸润和水肿的原因一般呈高信号,若瘢痕区血管成分含量较少、血栓机化等,T2WI可为低信号,动态增强动脉期FNH呈明显强化的富血供肿块,部分病变周边或中央可见供血血管,门脉期呈等或略高肝实质密度/信号影,延迟期呈等或略低密度/信号,中央瘢痕早期无强化,延迟期强化;普美显增强肝胆期病灶呈等或稍高信号,主要原因如下①FNH中含有正常功能的肝细胞,能够摄取普美显,中央瘢痕呈低信号;②FNH中肝细胞膜上有机阴离子转运肽(OATP)表达量等于或高于周围正常组织;③FNH内异常增生的胆管系统与正常的肝内胆管无交通,对比剂排泄受阻而积聚在病灶内;中央瘢痕肝胆期呈低信号。
影像表现----FNH典型表现:

文献病例:男27岁,FNH
影像表现----不典型表现:
由于出血或脂肪变性,CT呈稍高或低密度,T1WI呈高或低信号,T2WI呈不均匀高信号,动态增强呈不均质强化(与发生脂肪变 、糖元沉积 、钙化及出血、坏死相关);中央瘢痕不显示或不强化。

女性29岁,长期口服避孕药,T2WI等信号+肝胆期高摄取+包膜,不典型FNH。
鉴别诊断:
1. 与肝脏含中央瘢痕非FNH病变鉴别:①海绵状血管瘤中央瘢痕亦呈T1WI低T2WI高信号,肿块T2WI明显高信号呈“灯泡征”、动态增强向心性强化、肝胆期无摄取可鉴别;②纤维瘢痕型HCC,好发于青少年/年轻人,纤维瘢痕T2WI为低信号、延迟强化不明显,另外肿块内常伴钙化,增强门静脉期强化减退,肝胆特异期无摄取,晚期可有门静脉侵犯及肝门部淋巴结转移,两者鉴别不难;③肝内胆管细胞癌,常伴CA199升高,病变内常见坏死、密度及信号不均匀,肿瘤外周由密集肿瘤细胞构成,因此DWI可见“靶征”,增强动脉早期边缘强化,动脉晚期及门脉期进行性不均匀强化,邻近包膜凹陷,伴远端胆管扩张。
2.肝腺瘤:有出血和恶变倾向,无中央瘢痕,可见完整包膜,主要为被膜小动脉供血,强化方式向心性,肝胆期呈低信号。
3.肝胆期高信号肝细胞癌:HCC一般有肝炎或肝硬化病史,AFP升高,T2WI结中结、DWI弥散受限,动态增强“快进快出”,HBP低信号环可做鉴别。
荆门市中心医院 李文文
荆门市中心医院 李文文教授
青海红十字医院
品牌内容供应商入驻,共建优质课程库,图文、音视频、直播,面授,满足各类课程需求, 完美呈现优质课程内容。
想学什么课程,让我们来帮你量身定制的实现!帮内容寻找精准流量,帮流量匹配优质内容。
行业领袖亲授,业内大咖在线授课答疑,为您带来与众不同的学习体验与难得的提高机会。
排课、预约、支付、订单、发票,全流程线上管理,快速提升运营效率;数据化精准营销,满足各渠道业务管理需求。
线上跨越时空与线下对面交流优势完美结合,拓宽线上线下渠道,轻松解决招生难题,O2O打通了线上线下的客户体验环节,为您带来无限可能。
零门槛搭建在线网校,灵活部署,分分钟即可上线运营。配套H5、桌面端多平台自由选择,助您快速打造专属私有品牌的融合在线教育平台。