女,36岁。
体检发现脾大及肝脏占位性病变10天。
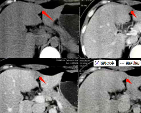
肝脏CT平扫:肝左内叶、左外叶镰状韧带旁可见斑片状低密度影,边界清,长径约1.5cm。
肝脏MR平扫及增强:肝左内叶及左外叶镰状韧带旁可见斑片状稍长T1、等T2信号,长径约1.6cm,病灶于T1WI反相位较同相位信号减低,增强各期均呈低信号表现。脾脏增大。
肝镰状韧带旁假病灶
肝镰状韧带旁假病灶是指肝脏镰状韧带旁韧带附着处出现的肝脏异常密度或信号,发生于肝左叶内侧段或(和)左叶外侧段前缘镰状韧带旁,临床工作中常见。大多数为单发,且多位于左叶内侧段,少数位于左叶外侧段,极少数为多发。
有关形成机制有两种说法:1.镰状韧带旁肝局部特殊血供形成:肝脏主要为肝动脉和门静脉供血,但该部位动脉和静脉供血缺失,而由脐静脉参与供血,即第三方供血。2.镰状韧带旁肝实质局灶性脂肪浸润。
影像表现:病灶多较小,最大径通常小于2.5cm,可为不规则形、类圆形或三角形。根据平扫及增强扫描图像上的密度及其变化情况,将其分为A型和B型。
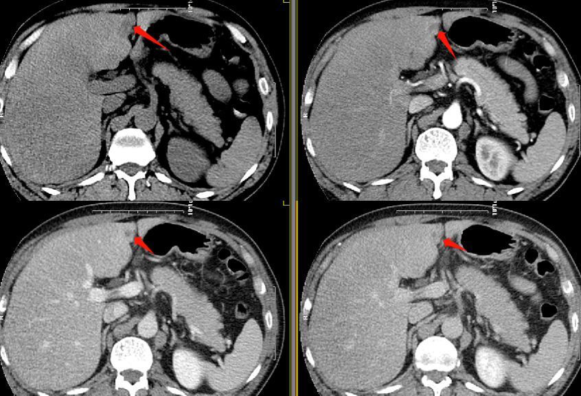
A型:占大多数,平扫呈等密度 ,动脉期呈等密度或略低密度,门脉期呈低或稍低密度且门脉期显示最清晰,平衡期及延迟扫描呈等或略低密度。(见下图所示)

B型:平扫、各期增强均呈低或略低密度。(见下图所示)

荆门市中心医院 李文文教授
李苏芹 徐州市中心医院
荆门市中心医院 李文文教授
品牌内容供应商入驻,共建优质课程库,图文、音视频、直播,面授,满足各类课程需求, 完美呈现优质课程内容。
想学什么课程,让我们来帮你量身定制的实现!帮内容寻找精准流量,帮流量匹配优质内容。
行业领袖亲授,业内大咖在线授课答疑,为您带来与众不同的学习体验与难得的提高机会。
排课、预约、支付、订单、发票,全流程线上管理,快速提升运营效率;数据化精准营销,满足各渠道业务管理需求。
线上跨越时空与线下对面交流优势完美结合,拓宽线上线下渠道,轻松解决招生难题,O2O打通了线上线下的客户体验环节,为您带来无限可能。
零门槛搭建在线网校,灵活部署,分分钟即可上线运营。配套H5、桌面端多平台自由选择,助您快速打造专属私有品牌的融合在线教育平台。