女,24岁
主 诉:鼻阻、涕中带血5月余,左侧颌面肿胀1月余
现病史:患者自诉缘于5月余前无明显诱因出现鼻阻,偶有涕中带血、痰中带血,无发热,无鼻痒、打喷嚏、流涕等不适,患者未重视,鼻阻逐渐加重,1月余前左侧鼻部及颌面部肿胀、疼痛,伴头痛、咳嗽、咳痰,涕中、痰中带血较前加重,无视物模糊、视物重影不适。
专科情况:左侧鼻背部及左侧颌面部肿胀隆起,压痛,质地中等,鼻外观畸形,鼻粘膜充血、水肿,右侧下鼻甲轻度肥大,鼻中隔向右偏曲,右侧中下鼻道大量粘液性分泌物,右侧鼻咽部见新生物从左侧突入,呈暗红色,左侧鼻腔肿物生长完全阻塞鼻腔,鼻腔内结构窥不见。咽:咽部黏膜慢性充血,双侧扁桃体不大,表面黏膜充血,未见脓点。耳:双耳外耳道未见异常分泌物,鼓膜无充血及穿孔。
MRI检查示左侧鼻腔椭圆形软组织肿块,部分边界不清,左侧上颌窦内前壁骨质吸收破坏,鼻中隔右侧偏曲,T1WI呈等/稍高信号,T2WI呈等/稍高信号,T2-压脂序列呈稍高信号,DWI呈稍高信号,增强扫描呈明显强化,强化相对均匀,内部见条状更明显强化区,边缘可见多发条状更明显强化区,类似脑回样改变。

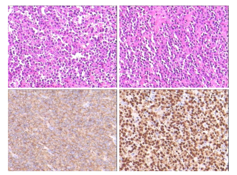
免疫组化结果:瘤细胞:CD20-,CD79a-,CD5-,K少数+,λ+,CD38+,CD138+,MUM-1+,ki-67灶+约20-30%。
EBER1及EBER2原位杂交结果:阴性。
(左侧鼻腔新生物)结合HE形态、免疫组化及EBER原位杂交结果,符合浆细胞瘤。
案例讨论
浆细胞瘤是发生于骨髓造血组织以外罕见的恶性软组织肿瘤,包括多发性骨髓瘤(multiple myeloma,MM)、孤立性骨浆细胞瘤(solitary plasmacytoma of bone,SPB)和髓外浆细胞瘤(extramedullary plasmacytoma, EMP)。EPM是1905年由Schridde首次描述,指骨髓以外的器官或组织内表现为浆细胞的单克隆增殖为特点的肿瘤。经骨髓检查、血清蛋白电泳、X线骨骼摄片和血、尿检查,均无多发性骨髓瘤的证据。EPM的发病率极低,约占浆细胞瘤3%。头颈部富含淋巴组织的区域是EPM的好发区域,约占80%,约40.6%发生于鼻腔、15.5%发生于上颌窦,其次是筛窦、蝶窦、额窦,但也可能发生在胃肠道、膀胱、腺体、淋巴结和皮肤。EPM主要起源于粘膜下组织,其病因尚不明确,有学者推测可能与吸入刺激性物质或病毒刺激有关。
鼻腔的EPM的影像表现无特异性,本例主要表表现为左侧鼻腔内膨胀性生长的软组织肿块,信号相对均匀,与脑灰质信号对比,T1WI呈等/稍高信号,T2WI呈等/稍高信号,推测主要是由于细胞密集,导致T2WI信号不高。压脂序列呈稍高信号,内部见多个条状低信号影,推测可能是富含血管的结缔组织或小血管,有研究认为瘤周或瘤内的血管流空信号为其一特征性表现。增强扫描病灶多为明显强化,提示病变血供丰富。此外增强内部可见条状更明显强化区,边缘可见“脑回样”更明显强化区,推测对应的主要结构为丰富的疏松间质组织。病灶未见明显的囊变坏死区,左侧上颌窦内前壁局部骨质吸收破坏。DWI呈稍高信号,ADC值约为ADC值约0.54×10-3mm2/s,有文献报道EPM的ADC值明显低于头颈部的其它良恶性肿瘤。
鼻腔EPM主要与内翻性乳头状瘤、淋巴瘤及癌鉴别。内翻乳头状瘤临床多表现为鼻塞、反复鼻出血,信号不均匀,增强扫描呈明显不均匀强化,呈较规整的 “栅栏 ”状外观,也称脑回征,本病例与内翻乳头状瘤表现极为相似。鼻腔淋巴瘤多以非霍奇金淋巴瘤多见,通常局限于鼻腔,弥漫性生长,多为双侧,DWI明显弥散受限,增强扫描呈轻-中度强化。癌进展较快,病程较短,患者临床症状重,病变呈浸润性生长,边界不清,囊变坏死较为常见,周围骨质溶骨性破坏。
嗅神经母细胞瘤
洛阳市第一人民医院 杨卢粉
山东省临沂市人民医院 张明辉教授
品牌内容供应商入驻,共建优质课程库,图文、音视频、直播,面授,满足各类课程需求, 完美呈现优质课程内容。
想学什么课程,让我们来帮你量身定制的实现!帮内容寻找精准流量,帮流量匹配优质内容。
行业领袖亲授,业内大咖在线授课答疑,为您带来与众不同的学习体验与难得的提高机会。
排课、预约、支付、订单、发票,全流程线上管理,快速提升运营效率;数据化精准营销,满足各渠道业务管理需求。
线上跨越时空与线下对面交流优势完美结合,拓宽线上线下渠道,轻松解决招生难题,O2O打通了线上线下的客户体验环节,为您带来无限可能。
零门槛搭建在线网校,灵活部署,分分钟即可上线运营。配套H5、桌面端多平台自由选择,助您快速打造专属私有品牌的融合在线教育平台。