女性,59岁
已绝经10年,们及下腹部包块1月余,自觉腹部包块无变化;外院彩超提示盆腔内混合回声包块,其内可见条状强回声。

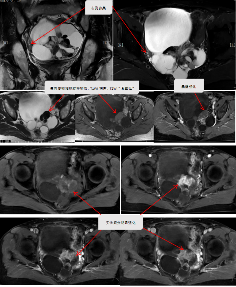
盆腔内见巨大多房囊实性包块,囊液内信号不一,部分囊液呈T1WI低信号、T2WI及T2-FS呈高信号,部分囊液呈T1WI等信号、T2WI及T2-FS稍高信号,部分囊液T1WI稍高信号、T2WI及T2-FS均呈低信号(真空征),病灶内见分隔,实性成分位于分隔处、DWI无明显弥散受限,动态增强实性成分及分隔呈明显持续强化;右侧卵巢可见;盆腔少量积液。
诊断意见:左侧卵巢甲状腺肿可能。

概述:
卵巢甲状腺肿(Struma Ovarii SO)是最常见的卵巢单胚层畸胎瘤,多见于40-50岁女性,偶见于儿童和高龄女性,占所有卵巢肿瘤的0.3–1 %,占所有卵巢畸胎瘤的1-3%。根据2017版WH0内分泌系统肿瘤的分类标准,卵巢甲状腺肿是指肿瘤完全或主要由甲状腺组织构成(所占比例大于50%);大多数患者无明显症状或下腹部肿块局部压迫症状,部分患者合并胸腹腔积液,被称为假Meigs syndrome,部分患者可那伴血清CA125升高,甚至分泌甲状腺素,产生甲亢表现;常合并成熟畸胎瘤;S0大多数为良性,少数恶变为恶性卵巢甲状腺肿(MSO),如甲状腺滤泡癌、乳头状癌,恶变率仅为0.3~5%。
大体病理:
肿瘤多为单侧,表面光滑,呈结节状或分叶状,有包膜,大小不一,直径通常在0.5-10cm,切面呈蜂窝状、红棕色,可为实性、囊实性或囊性,实性成分呈深棕色或棕红色,肉样,常含有多个胶冻样或粘液性小囊腔,完全囊性的甲状腺肿可呈淡蓝色胶冻样。

影像与病理:
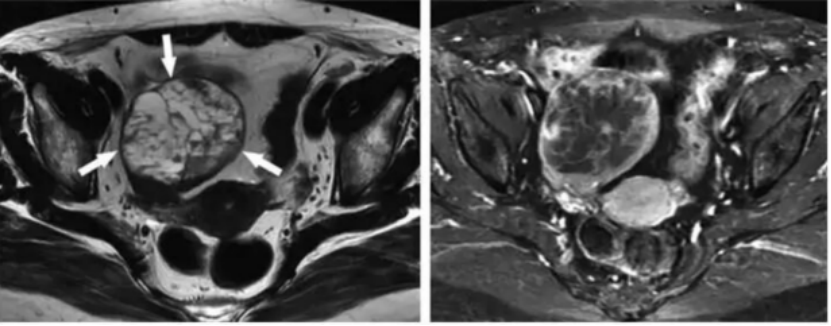
SO多为单侧发生(约90%病例),呈边界清晰类圆形或分叶状肿块,以多房囊性结构为主,完全实性罕见,囊腔大小不一,囊壁多光滑、均匀,实性成分嵌插分布位于囊壁及分隔处;以下影像学特征对诊断有一定帮助①囊液:由于各分房内含碘甲状腺素及甲状腺球蛋白,具有很强X线衰减能力,故囊液密度增高,对应T2WI信号减低,研究显示CT值较高的囊性区域,T2WI信号往往呈极低信号(低于相邻骨骼肌),被称为“真空征”,这可能由于囊内含大量胶冻样物质,这些物质多由大量纤维素构成,导致氢含量少所致,在影像学上具有辨识度;部分可见囊内出血。②钙化:与甲状腺相似,卵巢甲状腺肿的实性区域容易钙化,54-60%的病例囊壁或分隔常出现斑点状、线条状、蛋壳样或弧形钙化;③明显强化的实性成分及分隔:实性成分中含有甲状腺组织和血管丰富的不成熟纤维基质,强化显著,增强幅度常高于子宫肌层,呈珍珠瘤样、花边状强化,DWI无明显弥散受限;④脂肪成分:提示畸胎瘤来源的重要线索。⑤肿瘤边缘不规则,呈侵袭样生长时提示恶变(MSO),MS0可通过种植、淋巴道、血性转移;转移或种植病灶的特征与原发肿瘤完全不同,多为固体结节。
鉴别诊断----颗粒细胞瘤
颗粒细胞瘤一般伴有雌激素水平增高症状,如月经紊乱、量多,绝经后阴道出血等,常合并子宫内膜增厚,影像表现为多房囊性占位,典型者呈海绵状、蜂窝状,囊较小,出血常见,常伴液平,实性成分及囊壁中等强化。

45岁,颗粒细胞瘤
鉴别诊断----子宫内膜异位囊肿
多有痛经史,发病年龄偏小,病灶可多发,囊肿大小不一,大囊周边伴小囊,形成“卫星囊样”改变,由于囊内出血,T1WI多呈高信号,T2WI随出血时间信号不一,部分囊内可见液平。

本院病例:25岁,因排卵期出血入院;病理:双侧卵巢子宫内膜异位囊肿
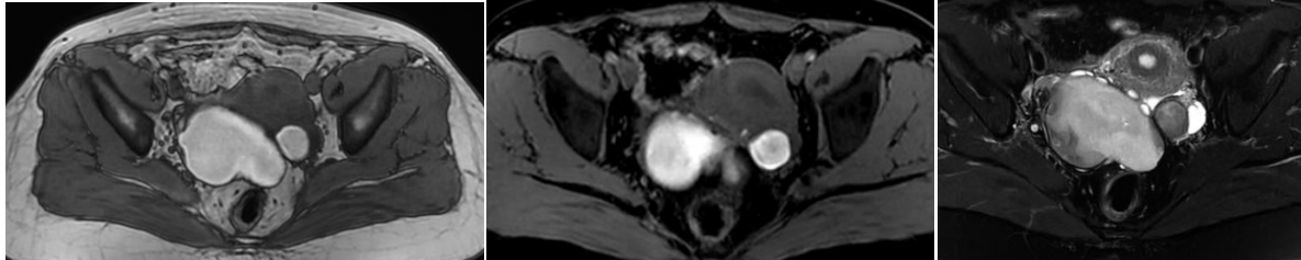
鉴别诊断----黏液性囊腺瘤(mucinous cystadenoma)/黏液性交界性肿瘤(mucinous borderline tumor)/黏液性囊腺癌(mucinous cystic adenocarcinoma)
黏液性肿瘤表现为多房囊性肿块,分房形态更复杂,并可见特征性的分房中的分房,黏液物质T1WI呈低、等或高信号,T2WI呈高或中等或稍低信号,但是T2WI真空样极低信号不易见到,实性成分的强化相对S0弱。

本院病例:36岁,体检发现盆腔包块7年余;病理:右侧卵巢黏液性囊腺瘤
鉴别诊断----卵巢透明细胞癌(OCCC)
OCCC以囊实性多见,且大部分OCCC的前驱病变为子宫内膜异位症,囊内可有出血,呈T1WI高信号,因此需于SO鉴别,OCCC多表现为宽基底乳头状、结节状赘生物突入囊腔,多数偏心性生长同时伴有邻近囊壁增厚,典型表现为单房囊性肿块伴单个或多个大小不等实性壁结节,且实性结节弥散受限。


本院病例:53岁,已绝经,们及腹部肿块2天,肿瘤标志物阴性;病理:透明细胞癌
类型:原创
病例ID:ZYLM000009390
校对:杨卢粉
阅读:40
文章已于2026-02-02修改