患者:女,39岁
右膝疼痛一年;患者平素健康,否认糖尿病、高血压、心脏病病史,否认传染病,无外伤手术史。
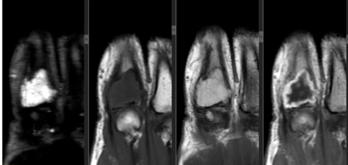
MRI所见:
T2: AX/SAG T1/STIR: COR
右侧股骨上段骨髓腔内见椭圆形稍长T1、稍长T2信号影,大小约5.76cm×2.01cm×1.63cm;信号欠均匀,边缘尚清晰,周围骨皮质未见明确异常改变。所示髋肌及大腿肌各群形态及信号未见异常。
诊断意见:
右侧股骨上段占位性病变,建议增强扫描或穿刺活检。
外院病理结果:内生软骨瘤
内生软骨瘤
一、背景
1、内生软管瘤(enchondroma)是指发生于骨内的软骨瘤。本病约占骨肿瘤的5%~10%,占良性骨肿瘤的14%~22%,仅次于骨软骨瘤和骨巨细胞瘤,居第三位。可分为单发和多发。单发性内生软管瘤多见于干骺端和骨干髓腔;多发性者可发生于骨髓腔、骨皮质(哈弗斯管),其中以髓腔多见,约为单发性的1/6。Ollier病(Ollier disease)是指伴有软骨发育障碍和肢体畸形的多发性内生软骨瘤,有单侧发病倾向。多发性内生软骨瘤并发软组织血管瘤则称Maffucci综合征(Maffucci syndrome)。
2、内生性软骨瘤常发生在手足短管状骨。主要症状是轻微疼痛和压痛,位于表浅者见局部肿块。肿块表面光滑、质硬,局部皮肤正常。多发性者有单侧发病的倾向,但也可同时累及两侧而以一侧为主,常合并各种畸形。多发性软骨瘤的恶变
率高于单发性内生软骨瘤,前者的恶变率在5%~50%不等。若肿瘤生长迅速,疼痛加剧,常提示恶变。内生性软骨瘤直径通常<3-5cm,少数可超过 5cm(在肱骨、股骨等,无其他恶性特征时仍可能为良性)。
二、影像表现
1、囊性膨胀性改变:位于短骨的肿瘤可于骨干的中央或偏心生长,呈一局限性圆形或类圆形透光区,边界清楚;邻近皮质膨胀变薄,边缘光整、锐利,一般无中断。皮质内缘出现不规则骨嵴或呈多弧状,有硬化边。但成人长骨少见膨胀性生长,可能因长骨骨端髓腔内空间较大有关。部分可只表现为钙化、骨质吸收伴钙化,骨质吸收区边界欠清。
2、基质矿化:特征性表现为斑点状、弧环状或环状软骨基质矿化。
3、无侵袭性特征:即无骨内膜扇贝样改变(或仅轻微表浅改变)、无骨髓水肿、无皮质破坏、无骨膜反应,也无软组织肿块。合并病理骨折时,可出现骨膜反应。
4、如瘤体较大,近期生长迅速,骨皮质侵蚀破坏,有骨膜反应,软组织出现肿块,疼痛加剧考虑恶变现象。恶变的发生率多于骨软骨瘤。

手足短骨的内生软骨瘤多表现为边界清楚的类圆形骨质破坏区,多有硬化缘与正常骨质相隔。病变邻近的骨皮质变薄或偏心性膨出,其可呈凹凸不平或呈多弧状

未钙化的瘤软骨T1WI呈低信号,T2WI呈明显高信号,增强可见不均匀环形强化
三、鉴别诊断:软骨肉瘤

1、自 2020 年起,长骨的低级别软骨肉瘤现在被称为非典型软骨瘤(ACT),因为这些肿瘤很局部侵袭性强,但很少发生转移(< 2%)。注意:四肢骨骼中的此类病变称为 ACT,而位于中轴骨骼(脊柱、骨盆、肋骨、胸骨、肩胛骨和颅底)的相同病变则称为 I 级软骨肉瘤(CS-I),因为它们的预后更差。因此,CS-I 这一术语仅用于中轴骨骼中的此类肿瘤。

2、软骨肉瘤影像表现:①多为髓腔内浸润性生长,边界模糊,病灶长度常>5cm(与内生软骨瘤有重叠,但单独长度无诊断意义)。②可见斑点状、弧环状或环状矿化(与内生软骨瘤相似),中高级别者矿化可能减少或不明显,呈 “溶骨为主” 表现。③侵袭性特征:骨内膜扇贝样改变深度>2/3 皮质或范围>2/3 病灶长度;骨髓水肿;骨皮质破坏;骨膜反应;软组织肿块。④MRI,T1WI呈低信号、T2WI 高信号,中高级别者信号更不均匀。

[1]Mulligan ME. How to Diagnose Enchondroma, Bone Infarct, and Chondrosarcoma. Curr Probl Diagn Radiol. 2019;48(3):262-273. doi:10.1067/j.cpradiol.2018.04.002
[2]教学阅片-内生性软骨瘤. 广州科大学附属第一医院公众号
[3]刘斯润,蔡香然,邱麟.新版(2020)WHO骨肿瘤分类解读[J].磁共振成像,2020,11(12):1086-1091.
[4]https://radiologyassistant.nl/musculoskeletal/bone-tumors/chondrotumors-1 ,2023
类型:整理
病例ID:ZYLM000009203
校对:杨卢粉
阅读:700
文章已于2026-01-12修改