患者:女,57岁。
主诉: 反应退钝1次。
现病史: 患者昨夜间突发反应迟钝,呆坐不动,可与旁人交流,表情呆。持续约1分钟,随后缓解,不记得发生了什么。无耳鸣、意识障碍、听力下降、肢体抽搐、发热、头痛、饮水呛咳、吞咽困难、肢体活动障碍及大小便功能障碍。为求进一步诊疗,来院就诊,测血压147/92mmhg,门诊以“大脑功能障碍”收入我科。患病后精神状态一般;饮食一般;睡眠一般;小便正常;大便正常;体力下降。
既往史: 平素健康情况一般;否认高血压、糖尿病病史;否认乙肝结核等传染病病
的
过敏史: 否认过敏史。
影像学表现
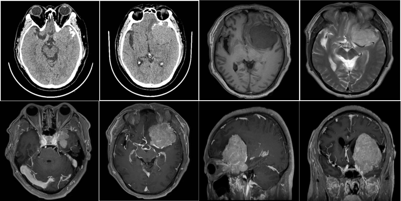
右侧鞍旁可见一团块分叶状软组织信号影并包埋右侧颈内动脉及大脑中动脉M1段,T1WI呈等信号、T2WI呈稍高信号,DWI呈等信号,大小约4.8X4cm,增强扫描呈明显强化,可见邻近硬脑膜强化,邻近蝶骨嵴骨质增厚,肿块周围见大片状水肿信号。中线结构向左移位。
影像学诊断
右侧鞍旁占位,考虑蝶骨嵴脑膜瘤。
病理诊断:右侧蝶骨嵴脑膜瘤(纤维上皮型)

脑膜瘤起源于蛛网膜的内皮细胞,可发生于颅内脑实质以外的任何部位。蝶骨嵴范围较大,为颅前窝与颅中窝分界,构成眼眶外侧壁的一部分,是脑膜瘤好发部位之一。
解剖部位三分法:蝶骨嵴脑膜瘤(sphenoid ridge meningioma)根据发生位置分为蝶骨嵴内1/3脑膜瘤(前床突脑膜瘤)、蝶骨嵴中1/3脑膜瘤(蝶骨小翼脑膜瘤)和蝶骨嵴外1/3脑膜瘤(蝶骨大翼脑膜瘤)三类。
1.蝶骨嵴内1/3脑膜瘤:邻近前床突,附近有视神经、视交叉、海绵窦和眶上裂结构,主要临床表现是早期出现的头痛,视力下降和视野缺失。病变进一步发展可出现眶上裂、眶尖综合征,视神经萎缩。
2.蝶骨嵴外1/3脑膜瘤:发生于蝶骨大翼,为最易侵犯眼眶的脑膜瘤,肿瘤呈块状或扁平状生长扩展,同时刺激骨膜使之增生、增厚,与正常骨之间界限不清,增生骨质表面毛糙、不光滑,骨增厚范围较软组织肿物范围大。该部位脑膜瘤同时向眶内、颅内和颞窝三个方向发展,眶腔逐渐缩小、软组织肿瘤突入眼眶内生长,引起眼球突出和向内、向下移位,一般于晚期才发生视力减退和丧失。肿瘤向颅内蔓延,有时影像图片上发现增厚骨壁于眶内面和颅内面均呈扁平隆起,难以确定其起源于眶内还是颅内骨膜。
3.蝶骨嵴中1/3脑膜瘤:其向内、向外发展,可具有以上所有症状,晚期则无法确定肿瘤的原发位置。
临床二分法: 临床上则一般分为内侧型和外侧型两类。
• 内侧型:对应解剖三分法的内1/3型,位置深在,早期症状明显,易引发视力障碍、眼球运动异常等症状,手术风险高。
• 外侧型:对应解剖三分法的中1/3、外1/3型,症状出现较晚,手术暴露相对安全。

蝶骨嵴脑膜瘤的病理类型通常为上皮型、纤维型或过渡型,其影像学表现与其他位置脑膜瘤类似,典型的CT表现为团块状或扁平状均匀地软组织密度影,MR T1WI呈等信号、T2呈稍高信号,增强后呈明显较均匀强化并可见脑膜尾征。肿瘤常累及海绵窦并包绕颈内动脉,甚至可突向鞍内。有时可见肿瘤沿视神经管或眶上裂向眼眶内生长。肿瘤邻近的骨质可见侵蚀破坏或由于长期慢性刺激可造成骨质增生硬化。
鉴别诊断:
1.垂体腺瘤:垂体腺瘤多为实性,大腺瘤、巨大腺瘤典型呈“8”字征或“束腰征”,蝶鞍扩张常见,可包绕颈内动脉,但通常不导致颈内动脉狭窄,常有内分泌症状。鞍旁蝶骨脊脑膜瘤一般无“束腰征”,蝶鞍常无扩张,可导致颈内动脉狭窄,内分泌症状相对少见。
2.颅咽管瘤:颅咽管瘤大部分为囊性或部分囊性,囊壁及实性部分强化,为单房或多房,钙化为特征性表现,囊内MRI T1信号复杂,可低可高,蛋壳样钙化。鞍旁蝶骨脊脑膜瘤一般以实性为主,囊变、坏死、出血少见,钙化相对少见。
3.鞍区神经鞘瘤:以三叉神经鞘瘤常见,肿瘤沿三叉神经走行,跨颅窝生长者呈哑铃状,岩骨尖骨质可见破坏,且其间隙的脂肪信号消失。肿瘤实质于T1WI呈等、稍低信号,T2WI呈等、稍高信号,可见“双相征”。瘤内易出现囊变、坏死。增强扫描呈明显均匀或不均匀性强化。
4. 鞍旁动脉瘤:动脉瘤起源于颈内动脉海绵窦段或前床突段,较小动脉瘤表现为血管流空信号,较大动脉瘤由于瘤内常出现血栓或涡流影响则表现为高低混杂信号。动脉瘤边缘常可见弧形或环状钙化。增强后瘤体显著强化、且等同于邻近血管强化程度,血栓部分通常无强化。
病例展示:
病例一:男,58岁,头痛半月。左侧蝶骨嵴内侧脑膜瘤,肿瘤后界与大脑中动脉毗邻。

病例二: 女,48岁,扁平肥厚性脑膜瘤。右侧蝶骨大翼骨质增生肥厚,边缘毛糙,毛刷状,肿瘤呈扁平状,等密度/信号,中度均匀强化,脑膜尾征。

类型:整理
病例ID:ZYLM000009147
校对:李文文
阅读:498
文章已于2026-01-26修改