女 71岁,腹痛3天
患者缘于入院前3天,无明显诱因出现腹痛,上腹部为著,为间断性隐痛,腹痛向腰背部放射,伴有腹胀,餐后多见,时有烧心,无恶心、呕吐、嗳气,食欲尚可,二便正常,就诊于当地卫生院,给予香砂平胃丸,枳术宽中胶囊对症治疗,效果欠佳,现为求进一步诊治来我院,门诊查胃镜示:1、食管炎?2、慢性非萎缩性胃炎伴胆汁反流3、胃多发息肉样隆起4、十二指肠球炎,心电图示:窦性心动过速、频发房性早搏,ST-T异常。遂以“腹痛”收入院。
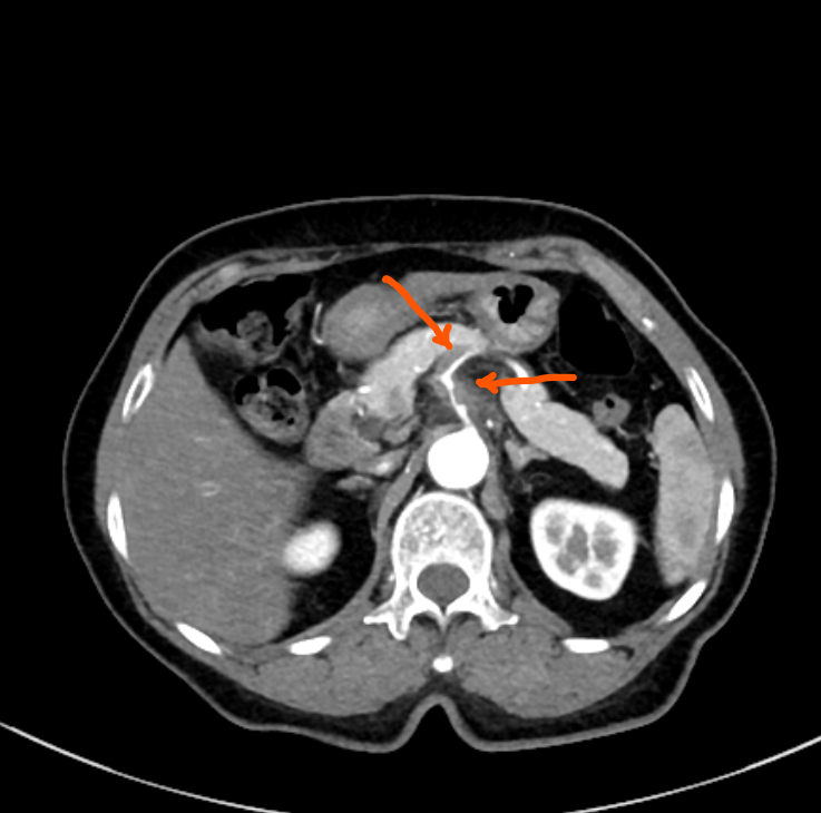
腹主动脉螺旋CT增强扫描:经静脉高压注射对比剂,流率4.0ML/Sec.,行CT增强扫描,采集数据行轴位薄层重建及Curved曲面重建、MIP、3D VR。
腹主动脉及双侧髂总动脉、髂内动脉管壁不光整,可见钙化斑块形成,双侧髂内动脉管腔轻度狭窄;腹主动脉分支腹腔干、肠系膜上动脉、肠系膜下动脉及双肾动脉开口自然,腹腔干及脾动脉起始处增粗,管壁增厚、毛糙,内见片状低密度充盈缺损,周围脂肪间隙模糊,腹腔干管腔重度狭窄,脾动脉起始处中度狭窄;肠系膜上动脉起始处管壁内膜增厚,管腔轻度狭窄;右肾动脉起始处管壁钙化斑块,管腔轻微狭窄;左肾动脉管壁规整,内膜未见增厚,管腔未见狭窄及扩张。
所扫层面:胆囊见高密度结节影。双肾可见囊状低密度影,大者位于左侧,直径约为8mm。阑尾冗长,见气体密度影。
印象:
1.考虑腹腔干及脾动脉起始处夹层,伴腹腔干管腔重度狭窄,脾动脉起始处中度狭窄,建议治疗后复查。
2.腹主动脉粥样硬化。
3.胆囊结石。
4.考虑双肾囊肿。
5.阑尾冗长伴积气。
腹腔干及脾动脉起始处夹层
病例讨论:
腹腔动脉自发性孤立性夹层(简称 “腹腔夹层”)属于内脏动脉孤立性夹层(不伴主动脉夹层)。为无创伤、无主动脉夹层基础的内脏动脉壁内血肿,其病理核心为内膜撕裂导致血液进入中膜形成假腔,可伴真腔狭窄、血栓形成或动脉瘤样扩张。
临床上肠系膜上动脉(SMA)是最常见受累血管,其次为腹腔干。肠系膜上动脉起始段(距开口约 1.5-3cm节段)因处于固定的胰后段与移动的系膜段交界,剪切应力集中,成为夹层高发区。
临床表现缺乏特异性,常以突发腹痛起病,以肚脐周围及上腹部明显。腹痛的原因可能是肠道缺血、夹层本身,或刺激性内脏动脉炎症反应。需与其他急腹症鉴别,临床常误诊误治。症状重者可出现肠缺血坏死,严重时危及生命。更棘手的是,多数患者无高血压、动脉硬化等基础疾病,病因不明,增加了诊断难度。
临床病例中,以中年男性突发腹痛较多见,也有儿童患者腹痛,最后确诊为肠系膜上动脉夹层的病例报道。
中老年急腹症患者,已排查常见疾病仍不明原因时,应当想到是否内脏动脉夹层或血栓可能。因腹腔夹层可能出现严重不良结局,临床应予以高度重视。
上腹部CT平扫能提供线索:肠系膜上动脉或腹腔干形态不规则,局部增粗,周围间隙模糊,临近脂肪密度增高。确诊首选检查方法是腹主动脉CTA,重点观察包括肠系膜上动脉、腹腔干等在内的腹腔脏器动脉血管,利用VR、MPR等多种后处理技术,逐一分析。
增强可见动脉管腔的扩张,内膜片撕裂形成充盈缺损影,可见管腔分割成双腔或多腔,假腔为动脉内膜外侧形成的腔,与中膜分离的内膜位于真假腔之间,形成内膜片。假腔内血流较慢,增强动脉期密度常常低于真腔。管腔扩张,呈双腔改变,假腔呈“新月形”包绕真腔。假腔内如有血栓形成,则表现为“新月形”低密度影。真假腔之间为内膜片。

鉴别诊断:
1.血栓栓塞性疾病
临床上血栓栓塞无内膜瓣,血管呈 “突然截断” 或充盈缺损,无真假腔之分。例如脾动脉栓塞,仅见脾梗死,腹腔动脉主干无内膜瓣。
2.动脉硬化性闭塞
动脉壁有钙化及混合性斑块,管腔狭窄呈渐进性,无内膜瓣,周围脂肪无炎性浸润。
3.血管炎
血管壁的炎症,包括多种不同的病症,一些血管炎可能涉及腹腔动脉;高达50%的血管炎病例涉及肠系膜动脉、腹腔干等,但只有少数表现为孤立的肠系膜疾病。增强:动脉壁环形增厚,管腔狭窄和微动脉瘤。长节段管腔逐渐变细,多发动脉瘤可看到串珠状外观。
影像确诊为腹腔夹层时,应进一步分型,其分型结果,对临床治疗有极重要指导意义。
Sakamoto分型:

I型:假腔有近端破裂入口和远端破裂出口,假腔内血流通畅
I型:假腔有近端破裂入口,无远端破裂出口
III型:假腔内血栓形成,可见溃疡样龛影
IV型:假腔完全性血栓形成,无溃疡样破口
治疗
保守治疗是腹腔夹层患者所有治疗方案的基础,疗效明确且预后较好,应该作为大部分腹腔夹层患者的首选治疗。
以下情况考虑介入治疗:
①保守治疗1周后症状无缓解甚至加重;
②夹层动脉瘤形成或破裂;
③在治疗或随访期间夹层出现明显进展者;
④由 腹腔夹层 引起的反复长期慢性腹痛者(23个月,排外其他引起腹痛的原因)。
外科手术:腹腔夹层患者一旦出现腹膜炎表现或高度肠缺血坏死时,应尽早切除坏死肠段并行一期或二期肠系膜上动脉或腹腔干等的血运重建,尽可能降低坏死肠段的范围及并发感染性休克的可能。
安徽省太和县人民医院 曹莉
洛阳市第一人民医院 杨卢粉
山东省临沂市人民医院 张明辉教授
品牌内容供应商入驻,共建优质课程库,图文、音视频、直播,面授,满足各类课程需求, 完美呈现优质课程内容。
想学什么课程,让我们来帮你量身定制的实现!帮内容寻找精准流量,帮流量匹配优质内容。
行业领袖亲授,业内大咖在线授课答疑,为您带来与众不同的学习体验与难得的提高机会。
排课、预约、支付、订单、发票,全流程线上管理,快速提升运营效率;数据化精准营销,满足各渠道业务管理需求。
线上跨越时空与线下对面交流优势完美结合,拓宽线上线下渠道,轻松解决招生难题,O2O打通了线上线下的客户体验环节,为您带来无限可能。
零门槛搭建在线网校,灵活部署,分分钟即可上线运营。配套H5、桌面端多平台自由选择,助您快速打造专属私有品牌的融合在线教育平台。