女性,84岁
胸闷气喘不适1月,胸部CT提示:右侧胸腔积液;患者已绝经30余年,否认绝经后阴道出血、流液。患者3年前检查发现盆腔包块(具体不详),未予以重视及处理。近半年来患者出现尿频症状,5-6次/晚,无尿急尿痛,无便秘。肿瘤标志物:甲胎蛋白 3.34ng/ml,癌胚抗原 1.660ng/ml,糖类抗原125 891.60U/ml,糖类抗原199: 4.9U/ml
MRI: 盆腔见巨大混杂软组织肿块,实性成分T1WI呈等及稍低信号,T2WI呈稍高及低信号,DWI局部弥散受限呈高信号,测量最小ADC值约0.842×10-3mm2/s,病变内见斑片状T1WI低T2WI高信号,呈“山间云雾状”,肿块边界清楚,大小约163.3mm×129.8mm×127.3mm(前后径×左右径×上下径),增强动脉期内可见细支血管影,动态增强实性成分呈不均匀轻中度渐进性强化,右侧卵巢静脉增粗,子宫、受压狭长、向左前方移位;病变左上方另见一结节状肿块与之紧邻,结节内可见成熟脂肪信号,边界清楚,大小约55.8mm×76.0mm×50.6mm(前后径×左右径×上下径),增强呈环状轻度强化;子宫体积缩小,内膜不厚,信号未见明显异常,增强扫描未见明显异常强化灶;膀胱呈受压改变,膀胱壁不厚,内未见明显充盈缺损;盆腔内见条片状T2WI高信号影;盆腔及双侧腹股沟区未见明显肿大淋巴结。
诊断意见:
1.盆腔巨大占位,考虑右侧附件区性索间质肿瘤:卵泡膜纤维瘤,肿块旁考虑畸胎瘤,请结合临床及其他检查;
2.盆腔积液。
右侧卵巢性索间质肿瘤肿瘤:倾向卵泡膜细胞瘤;与病理科老师沟通,较大肿块旁另见一结节,钙化明显,囊内有油脂,倾向畸胎瘤。整合病理结果:右侧卵巢碰撞瘤

碰撞瘤也被称作“背靠背瘤”,是指发生在同一解剖部位上的2种及以上不同组织来源且分界清楚的肿瘤,肿瘤成分之间通过薄层基质或各自基板分隔、无混合。成分可共同为良性或恶性、良恶性共存;卵巢碰撞瘤中肿瘤的组织来源包括上皮性、生殖细胞性及性索间质性3种,可2种或3种来源肿瘤碰撞(3种非常罕见),上皮性肿瘤与生殖细胞性肿瘤组合多见,以成熟囊性畸胎瘤与黏液性囊腺瘤(癌)并存最常见,其次为上皮性肿瘤与性索-间质肿瘤组合。
卵巢碰撞瘤的发病机制目前仍存在争议,国内外文献中有关的理论有:多种肿瘤巧合地发生于同一部位;多种肿瘤间的相互激励作用;体内原癌基因及抑癌基因的表达失控;手术、放化疗或外伤可诱发碰撞瘤的形成等等。
影像表现:各肿瘤位置关系为“背靠背”或“嵌套”模式。以“背靠背”模式多见,指两种肿瘤相邻或较小肿瘤以壁结节形式贴附于较大肿瘤的壁上,两者间存在清晰分界。“嵌套”模式指体积较小的肿瘤位于较大肿瘤的内部,呈典型的囊壁瘤或囊中瘤表现,此大多数为上皮细胞肿瘤与生殖细胞或性索间质肿瘤碰撞的表现,卵巢碰撞瘤中上皮性肿瘤往往较大,而生殖细胞或性索间质来源肿瘤较小,位于上皮来源肿瘤的囊变区内或贴附于囊壁上,囊壁瘤或囊中瘤是较典型的表现。
卵巢碰撞瘤表现为各肿瘤本身典型影像征象、密度/信号特点。囊腺瘤/癌为多房囊性,分隔/壁结节强化,囊内容物密度/信号与成分相关;成熟囊性畸胎瘤可见脂肪或钙化;性索间质肿瘤可为均匀强化的实性结节等。

左侧卵巢成熟囊性畸胎瘤和Sertoli-Leydig细胞瘤构成的卵巢碰撞瘤。图1 a)盆腔MR轴位T1WI平扫:左侧附件区见一实性为主肿块,内含两个部分,偏外上份部分以实性为主,信号不均匀,T1WI呈等、稍低信号(短箭 );偏内下份另见一含脂肪混杂信号结节,呈类圆形,界限清楚,边缘光整;b)冠状位MRT2WI平扫:肿块外上份T2WI呈高、低混杂信号(短箭),内见小囊变区;内下份含脂结节T2WI呈高低混杂信号(长箭);c)矢状位MRT2WI压脂:肿块外上份T2WI压脂呈等、高混杂信号(短箭);内下份含脂结节T2WI压脂外周信号明显减低(长箭);d)轴位MRT1WI增强:增强扫描肿块实性成分及部分囊壁可见显著强化,囊内容物及含脂结节未见强化。图2 a)盆腔 MR轴位T1WI平扫、b)冠状位MRT2WI平扫、c)矢状位 MRT2WI压脂、d)轴位 MRlT1WI增强,右侧附件区见一类圆形囊实性肿块,边界清晰,信号欠均匀,各序列均呈高低混杂信号,局部可见 T2WI高信号,T2WI脂肪抑制序列低信号的脂肪成分,增强扫描囊性成分和脂肪成分未见明显强化(箭)。图3 左侧附件区肿块病理图(HE,xl00)a)肿块偏外上份部分显微镜下可见呈条索状排列的不成熟Sertoli细胞及b)含有丰富胞质的Leydig细胞呈簇状排列;c)偏内下份含脂结节镜下见皮肤组织及脂肪组织等杂乱无章排列。

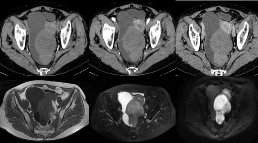
62岁,左侧卵巢单纯性浆液性囊腺瘤并卵泡膜纤维瘤。横断位CT平扫示盆腔囊实性肿块,囊性区域(II)呈单囊改变,内未见分隔,与实性区域(I)分界清楚;图2a:增强扫描静脉期冠状位重建图像示实性成分不均匀轻度强化。图2b:显微镜下卵泡膜纤维瘤示肿瘤细胞呈梭形及短梭形,细胞排列呈“羽毛状”或“编织状”;(HE)图2c:单纯性浆液性囊腺瘤示囊壁被覆单层柱状上皮,无明显异型性(HE)(图2d)。


患者女性,86岁,绝经后阴道流血6天,CA125:23.59(22U/ml)。右侧卵巢卵泡膜纤维瘤及浆液性囊腺瘤。
[1] 林益淳,黎星星,杨清华.成熟囊性畸胎瘤和Sertoli-Leydig细胞瘤构成的卵巢碰撞瘤一例[J].影像诊断与介入放射学,2025,34(1):62-65.
[2] 唐翔宇,田春梅,张贝贝,等.卵巢碰撞瘤的MRI表现及病理诊断[J].实用放射学杂志,2021,37(3):427-430.
[3] 倪丽欣,夏玲燕,贾传海,等.卵巢二元碰撞瘤的影像学表现及病理特征分析[J].中国临床医学影像杂志,2021,32(3):212-215.
王丽娜,住院医师 杭州市萧山区第一人民医院放射科 参加浙江省住培影像技能大赛获三等奖2次 曾获2025年萧山区“第二十二届技术能手”称号
青海红十字医院
朱珊珊 汕头大学医学院第一附属医院放射影像科主治医师 汕头大学全英教师、全程规培带教老师 汕头市抗癌协会肿瘤影像专委会委员 广东省医学教育协会全科医学与基层医疗卫生专业委员 研究方向:乳腺癌、消化道肿瘤及炎症性肠病等
品牌内容供应商入驻,共建优质课程库,图文、音视频、直播,面授,满足各类课程需求, 完美呈现优质课程内容。
想学什么课程,让我们来帮你量身定制的实现!帮内容寻找精准流量,帮流量匹配优质内容。
行业领袖亲授,业内大咖在线授课答疑,为您带来与众不同的学习体验与难得的提高机会。
排课、预约、支付、订单、发票,全流程线上管理,快速提升运营效率;数据化精准营销,满足各渠道业务管理需求。
线上跨越时空与线下对面交流优势完美结合,拓宽线上线下渠道,轻松解决招生难题,O2O打通了线上线下的客户体验环节,为您带来无限可能。
零门槛搭建在线网校,灵活部署,分分钟即可上线运营。配套H5、桌面端多平台自由选择,助您快速打造专属私有品牌的融合在线教育平台。