患者,女性,53岁
阴道流血2周,发现子宫包块2天。
CEA:4.78 ng/ml AFP:1.65 ng/ml CA199:11.9U/ml CA125:10.4011.9U/ml
MRI:子宫后位,体积稍大,前壁肌层见不规则团块状T1WI稍低T2WI不均匀稍高信号,病变内及周围见多发流空血管影,DWI肿块可见弥散受限,测其最小ADC值约0.544×10-3mm2/s,动态增强呈明显不均匀强化,内见点片状无强化区,边界不清,范围约47.1mm×50.0mm×46.1mm(左右径×前后径×上下径),TIC曲线呈速升缓降型,肿块主体位于前壁肌层内,并向宫腔内延伸生长,前壁浆膜层显示完整;双侧附件区未见明显异常信号;膀胱充盈不佳,内未见明显充盈缺损;盆腔内见斑片状T2高信号影。
诊断意见:子宫前壁肌层及宫腔内占位伴坏死,考虑恶性病变:子宫内膜间质肉瘤可能,不除外平滑肌肉瘤

概述:
子 宫 内 膜 间 质 肉 瘤(endometrial stromalsarcoma,ESS)是子宫恶性肿瘤中一种少见病理学类型,起 源 于 子 宫 内 膜 间 质 细 胞或子宫肌层未分化的原始间质细胞,极少数发生在子宫外,如盆腔、卵巢或腹膜等部位,可能与子宫内膜异位症有关。
组织学类别:
子宫内膜间质结节(Endometrial stromal nodule ESN)---良性、最少见;
低 级 别 子 宫 内 膜 间 质肉 瘤 (low grade endometrial stromal sarcoma ,LGESS)--->70%;
高 级 别 子 宫 内 膜 间 质 肉 瘤(high gradeendometrial stromal sarcoma ,HGESS)---罕见;
未 分 化肉 瘤(undifferentiated uterine sarcoma ,UUS)
临床表现:
该病大多发生在 40~50 岁围绝经期妇女,主要表现为腹痛、阴道不规则出血或者排液、月经量增多及压迫症状等,特异性不高,极易误诊。
影像分型:
①腔内生长型;②肌层浸润型;③肌层肿块型;④浆膜下型;⑤宫外型。
因其发生部位、恶性程度的不同,影像学表现的多样性。位于宫腔者表现为自内膜突向宫腔的结节状或息肉状肿块,可侵及肌层;浸润肌层性表现为结合带模糊不清,肌层出现与宫腔病变一致的T1WI等或稍低信号,T2WI略高信号,DWI呈明显高信号,表观扩散系数(apparent diffusion coefficient,ADC)呈低信号,有些在肿块毗邻的肌层内出现蚯蚓状高信号,为肿瘤沿血管和淋巴管的蔓延;肌层肿块型表现为单发团块状或多发蠕虫状结节;LGESS 的结节一般边界清晰,UES 则表现为较大的不规则肿块,或者多个结节融合成团块状,边界不清,并且坏死、出血明显,液化坏死、囊变T1 WI呈低信号,T2 WI呈高信号,出血T1WI呈高信号。部分病变内可见迂曲低信号影,考虑为丛状生长的薄壁血管所致。少数位于肌层的 ESS 可向子宫外蔓延;病变的实性部分及分隔可见中度至明显强化,强化程度比子宫肌层明显,提示病变的血供丰富。
有报道称肿块内T2WI低信号分隔、瘤周T2WI低信号或结节状/”蠕虫样”T2WI高信号可作为子宫内膜间质肉瘤相对特异性征象;T2WI低信号分隔可能是被浸润到肌层的肿瘤细胞簇分隔残留的正常子宫肌层束,边缘部分呈现出蠕虫状结节样改变,很可能是血管或淋巴管受侵的特异性表现,病理基础是肿瘤嗜血管的生物学特征导致这些肿瘤容易沿子宫和宫旁血管蔓延,尤其是沿静脉蔓延。有报道称实性成分羽毛状强化是HGESS特异性表现。
图1 女,48 岁,低级别子宫内膜间质肉瘤(LGESS)。轴位T2WI抑脂:子宫后壁肌层内实性为主的囊实性肿块影,稍高信号为主, 内见低信号细分隔影(长箭),囊性成分位于病变边缘,呈高信号(短箭)
图2 女,45 岁,LGESS。矢状位T2WI:子宫后壁肌层内的囊实性病变,囊性成分为主,实性成分呈片絮样(箭) 图3 女,51 岁,LGESS。轴位T2WI抑脂:子宫右侧壁不规则实性肿块, 与肌层分界不清并侵犯至右侧附件,内见多发低信号分隔(箭)
图4A,B 女,46岁,LGESS。A.冠状位T2WI:宫腔内软组织肿块 影(箭),内信号均匀;B.矢状位T2WI:显示病变蒂附于子宫底后壁,与肌层分界欠清(箭)
图5 女,50 岁,LGESS。矢状位T2WI: 宫腔内不规则软组织肿块影,信号均匀,呈稍高信号,与子宫肌层分界欠清(箭),前壁结合带不连续
图6 女,47岁,LGESS。矢状 位T2WI:子宫前壁肌层内囊性为主的囊实性肿块影,内见多发液-液平面(箭),提示病变内出血
图7 女,40 岁,LGESS。矢状位 T2 WI:子宫前壁肌层内高信号的实性肿块,瘤周可见条状低信号(箭)
图8 女,42 岁,LGESS。冠状位T2WI:子宫左侧壁肿块影,病灶边缘见结节状稍高信号(箭) 图9 女,47岁,LGESS。镜下示肿瘤细胞丰富,呈短梭形,细胞异型不明显,核染色质均匀, 核分裂象少(HE ×200)

蠕虫样延伸征:A.为蠕虫示意图;B为子宫内膜间质肉瘤冠状位T2加权像,显示子宫及其肌壁间肿物,肿物内见多发蠕虫样延伸征,部分“蠕虫”被绿色条块标识
鉴别诊断:
1. 肌层实性肿块型主要与富细胞子宫肌瘤和子宫腺肌症鉴别,子宫肌瘤内少见低信号分隔,子宫腺肌症的MRI表现主要为子宫结合带增厚,“飘雪”征(子宫肌层内多发点状短T1WI、长T2WI信号)是子宫腺肌症特征性的表现。
2. 肌层囊实性肿块型主要与变性子宫肌瘤鉴别,子宫肌瘤变性大部分病灶边界清楚,且可见低信号包膜影,ESS大部分边界不清;有报道称ESS坏死面积大于50%,强化程度高于子宫肌层有一定鉴别价值;LGESS 还需与子宫平滑肌肉瘤鉴别,后者肿瘤内易广泛坏死、出血,边缘不清,强化显著,有时不易与弥漫浸润的LGESS 鉴别,需依赖病理确诊。
3. 宫腔息肉型主要与子宫内膜息肉、黏膜下子宫肌瘤鉴别,子宫内膜息肉T2WI上出现低信号的纤维核具有特征性。
4. 宫腔浸润型主要与子宫内膜癌鉴别,子宫内膜癌大部分表现为不均匀中等信号,增强扫描子宫内膜癌强化程度较子宫肌层低,而LGESS 强化程度高于子宫肌层。
5. 宫旁型主要与静脉内平滑肌瘤病鉴别,后者不累及静脉壁,弥散受限少见。


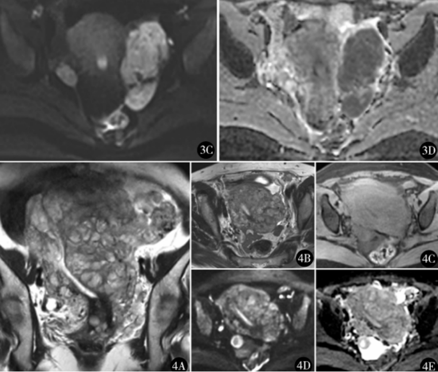
图2 低级别子宫内膜间质肉瘤(ESS)MR平扫:患者80岁,发现子宫肌瘤12年,阴道不规则 出血2个月,行全子宫和双附件切除术,术后病理为低级别子宫内膜间质肉瘤。 A.轴位T2WI 显示肿瘤为不规则高信号肿物,边界不清,占据大部分子宫肌层,并可见“蠕虫样延伸”征,累及 宫旁及附件;B.轴位T1WI显示肿瘤内少许高信号;C.肿瘤DWI信号明显增高;D.ADC图为 明显低信号,即为DWI明显弥散受限区
图3 富于细胞性平滑肌瘤(CL)MR平扫:患者33 岁,外院子宫肌瘤剔除术后11个月,发现盆腔包块1个月,行子宫肌瘤剔除术,术后病理富于细胞性平滑肌瘤。 A.轴位T2WI肿瘤为左宫旁卵圆形高信号肿物,边界清晰,未见“蠕虫样延伸” 征;B.轴位T1WI显示肿瘤内少许高信号;C.肿瘤DWI信号增高;D.ADC图为明显低信号,即为DWI明显弥散受限区
图4 静脉内平滑肌瘤病(IVL)MR平扫:患者43岁,扪及下腹部包 块2周,行全子宫和双附件切除术,术后病理为静脉内平滑肌瘤病。 A、B.冠状位和轴位T2WI 肿瘤呈高信号,“蠕虫样延伸”征占据几乎全部子宫肌层,累及宫旁血管;C.轴位T1WI肿瘤未见高信号;D.肿瘤DWI信号增高;E.肿瘤ADC图仍为稍高信号,未见DWI弥散受限。
[1] 汪田田,冯玲玲,朱春雨,等.低级别子宫内膜间质肉瘤的MRI表现与分型[J].实用放射学杂志,2023,39(6):967-970.
[2] 杨璐,程敬亮,张勇,等.子宫内膜间质肉瘤的MRI表现[J].实用放射学杂志,2017,33(10):1565-1568.
[3] 赵越,易飞.子宫内膜间质肉瘤的影像表现[J].放射学实践,2021,36(1):103-107.
[4] 周延,陈永晔,刘剑羽,等.子宫内膜间质肉瘤与特殊类型良性平滑肌瘤MR影像学特征差异的探索[J].中国微创外科杂志,2023,23(4):284-289.
[5] 伍雪,蔡春仙,林莉萍.子宫内膜间质肉瘤与子宫肌瘤变性的影像鉴别[J].实用放射学杂志,2020,36(6):934-938.
洛阳市第一人民医院 杨卢粉
山东省临沂市人民医院 张明辉教授
朱翰林 副主任医师 医学硕士 杭州市第九人民医院放射科 浙江省医学会第十一届放射学分会头颈影像委员 主持及参与省市级课题6项,以第一/通讯作者发表SCI论文、中文核心论文10篇 SCIENTIFIC REPORTS、FRONTIERS IN ONCOLOGY 审稿人
品牌内容供应商入驻,共建优质课程库,图文、音视频、直播,面授,满足各类课程需求, 完美呈现优质课程内容。
想学什么课程,让我们来帮你量身定制的实现!帮内容寻找精准流量,帮流量匹配优质内容。
行业领袖亲授,业内大咖在线授课答疑,为您带来与众不同的学习体验与难得的提高机会。
排课、预约、支付、订单、发票,全流程线上管理,快速提升运营效率;数据化精准营销,满足各渠道业务管理需求。
线上跨越时空与线下对面交流优势完美结合,拓宽线上线下渠道,轻松解决招生难题,O2O打通了线上线下的客户体验环节,为您带来无限可能。
零门槛搭建在线网校,灵活部署,分分钟即可上线运营。配套H5、桌面端多平台自由选择,助您快速打造专属私有品牌的融合在线教育平台。